Sorrisos nos unem

Cada sorriso é uma expressão singular que nos conecta como seres humanos.

Todas as especialidades, um só objetivo:
seu melhor sorriso!

Agendar atendimento
Nossos serviços

Tratamentos realizados

Oferecemos uma ampla gama de tratamentos odontológicos com tecnologia de ponta e profissionais especializados para cuidar do seu sorriso.

Odontopediatria

Odontopediatria

Cuidamos dos pequenos desde cedo em ambiente lúdico e afetivo. Atendemos bebês, crianças, gestantes e pacientes especiais de forma personalizada para que cada sorriso cresça saudável.

Clínica Geral

Clínica Geral

Oferecemos os principais cuidados para manter a saúde bucal em equilíbrio. Prevenimos doenças, tratamos alterações e acompanhamos cada paciente garantindo bem-estar contínuo.

Cirurgia
Bucomaxilofacial

Cirurgia Bucomaxilofacial

Tratamento cirúrgico de doenças, lesões e malformações da boca, face e região craniofacial. Inclui extrações complexas, cirurgias de sisos e procedimentos hospitalares.

Fisioterapia Cervicocraniomandibular

Fisioterapia Cervicocraniomandibular

Diagnosticamos e tratamos dores e disfunções musculoesqueléticas que envolvem cabeça, pescoço e mandíbula. Auxiliamos também nos cuidados pós-operatórios dessas regiões.

Patologias Bucais

Patologias Bucais

Atuamos na prevenção, diagnóstico e tratamento das doenças que afetam a cavidade oral e estruturas relacionadas. Executamos procedimentos como biópsias e remoção de lesões.

Laserterapia

Laserterapia

Utilizamos a laserterapia como recurso moderno para acelerar a cicatrização, reduzir dor e inflamação em diferentes situações como aftas, implantes e extrações.

Reabilitação Oral

Reabilitação Oral

Restauramos a saúde, função e estética do sorriso através de abordagem multidisciplinar. Combinamos próteses, implantes, ortodontia e periodontia para resultados completos.

Endodontia

Endodontia

Tratamos a polpa e os canais dentários para cessar dores, controlar infecções e preservar ao máximo a estrutura natural dos dentes. Popularmente conhecido como "tratamento de canal".

Ortodontia Fixa

Ortodontia Fixa

Corrigimos o posicionamento dos dentes e o alinhamento da mordida com aparelhos fixos. Nosso objetivo é unir estética e função em resultados previsíveis e duradouros.

Prótese Dentária

Prótese Dentária

Reabilitamos dentes perdidos ou comprometidos com soluções personalizadas como coroas, facetas e próteses fixas ou removíveis. Devolvemos a mastigação, estética e autoconfiança.

Implantodontia

Implantodontia

Oferecemos implantes dentários modernos e seguros, devolvendo conforto, naturalidade e uma base sólida para próteses que reconstroem a função e o sorriso.

Alinhador
Ortodôntico

Alinhador Ortodôntico

Disponibilizamos uma alternativa moderna e discreta aos aparelhos tradicionais: alinhadores transparentes, removíveis e confortáveis. Somos credenciados pela Invisalign.

Periodontia

Periodontia

Cuidamos da saúde das gengivas e dos tecidos de suporte dos dentes, prevenindo e tratando doenças como gengivite e periodontite. Realizamos procedimentos cirúrgicos estéticos.

Dentística
Restauradora

Dentística Restauradora

Recuperamos dentes danificados por fraturas, cáries ou desgastes utilizando materiais modernos como resinas e porcelanas. Somos referência regional em reanatomizações estéticas.

FACETAS
DENTÁRIAS

Facetas Dentárias

Proporcionamos sorrisos mais harmônicos e naturais com facetas em resina ou porcelana. Cada caso é planejado com atenção aos detalhes, buscando equilíbrio entre estética e função.

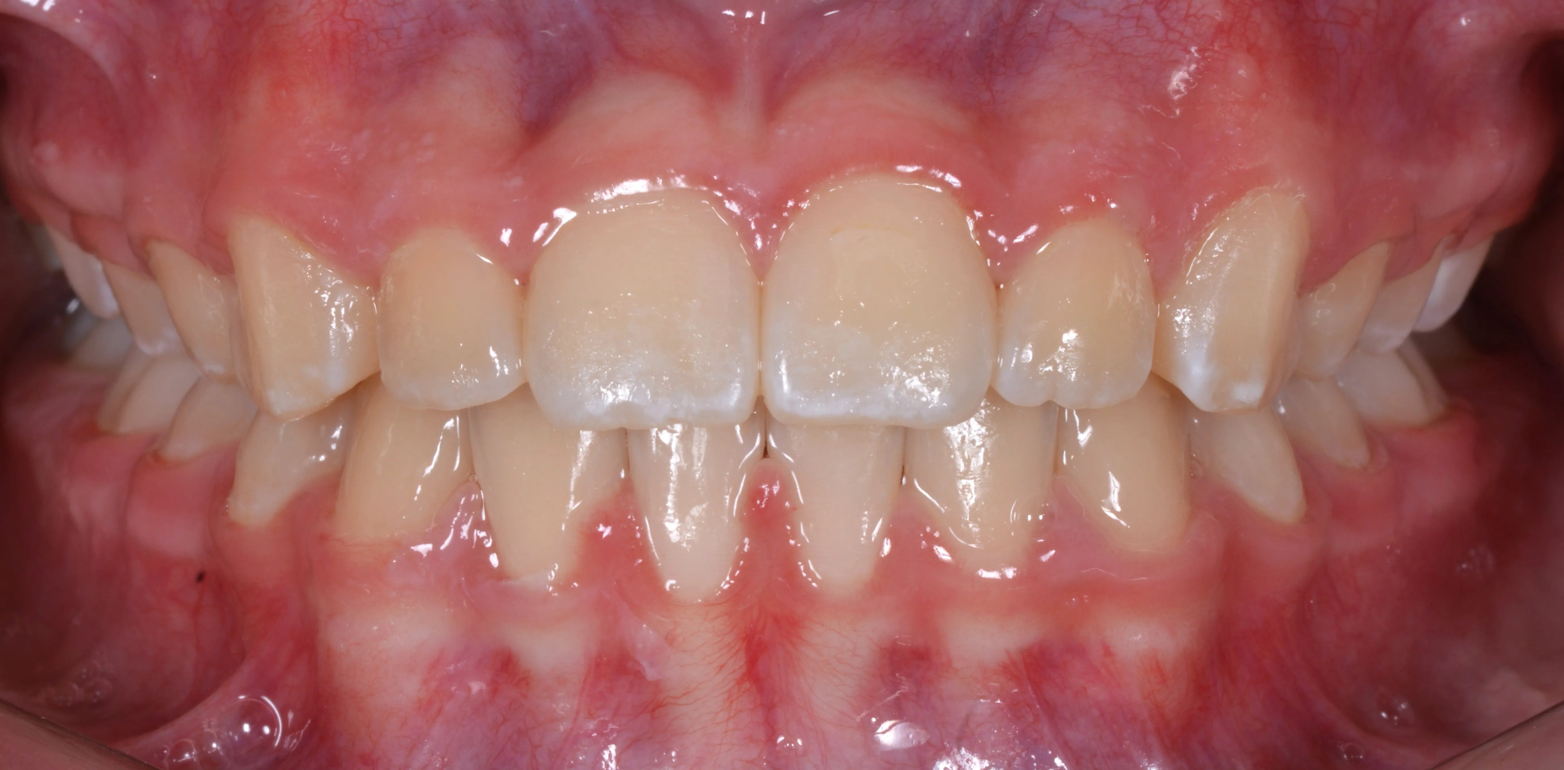
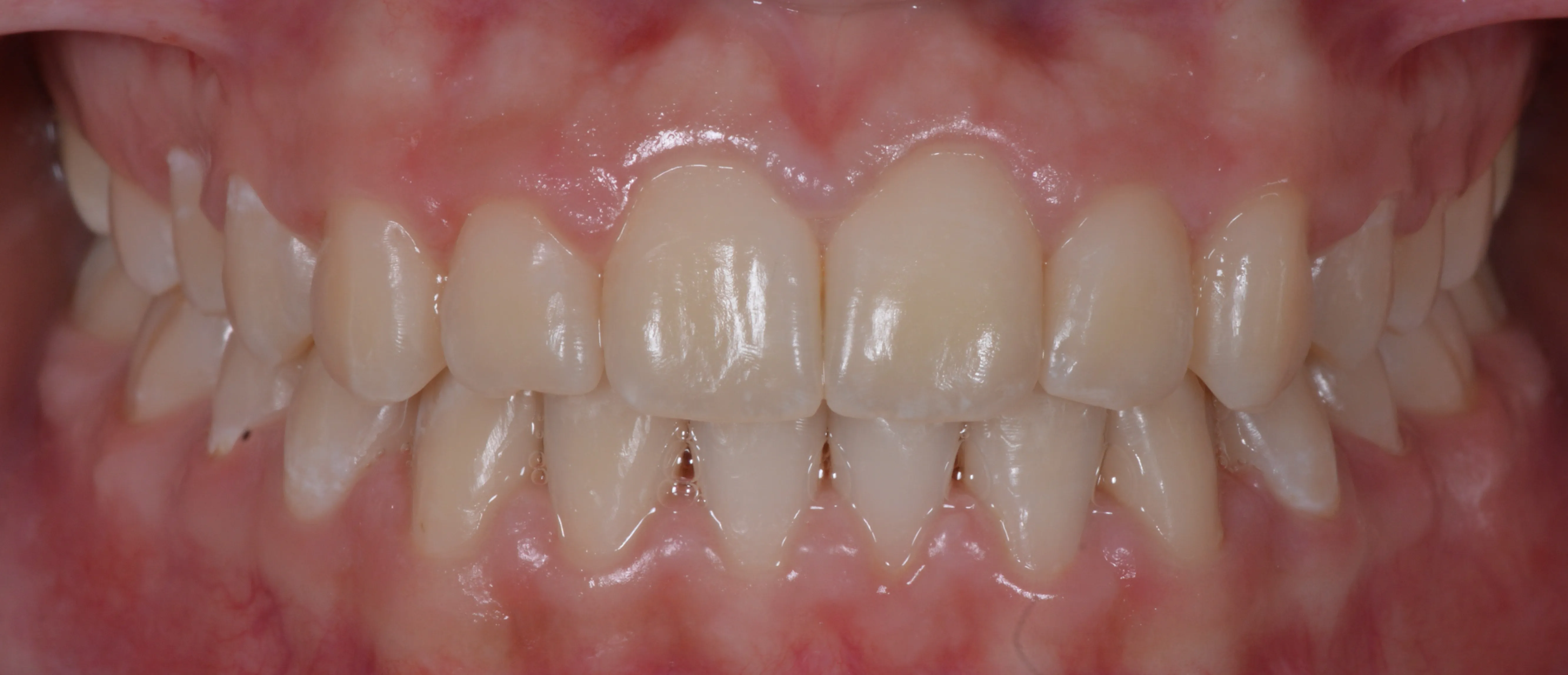
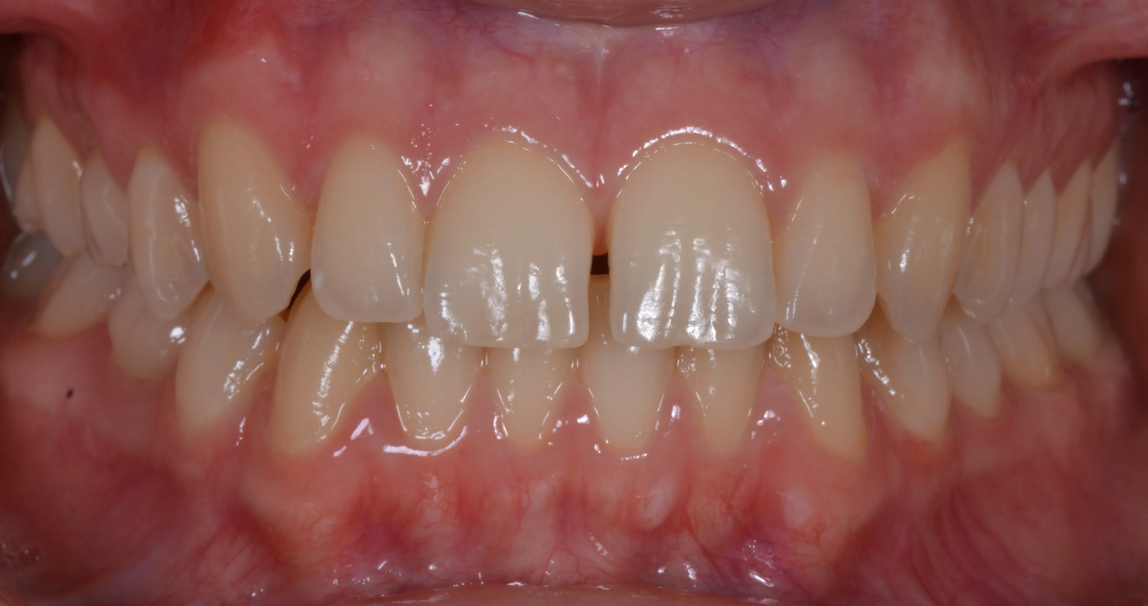
Resultados reais

Antes e Depois

O antes e depois mostra a transformação real proporcionada pelos nossos tratamentos. Cada sorriso renovado é resultado de cuidado, tecnologia e dedicação, refletindo a confiança e satisfação dos nossos pacientes.

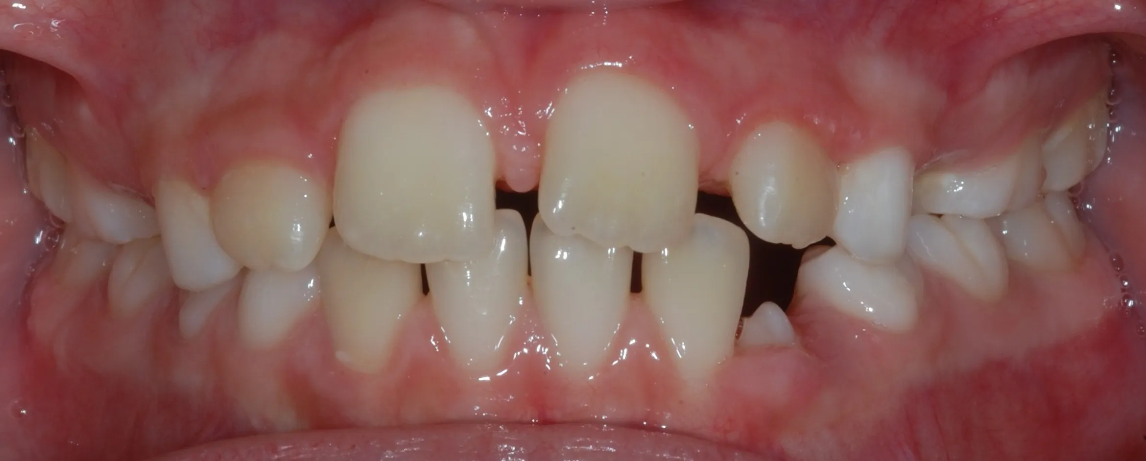
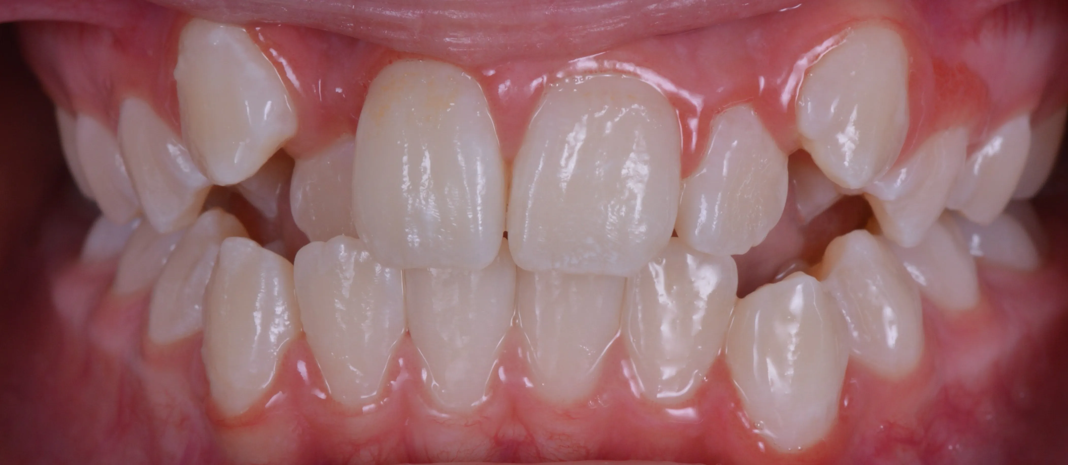
Depois Antes
ANTES
DEPOIS

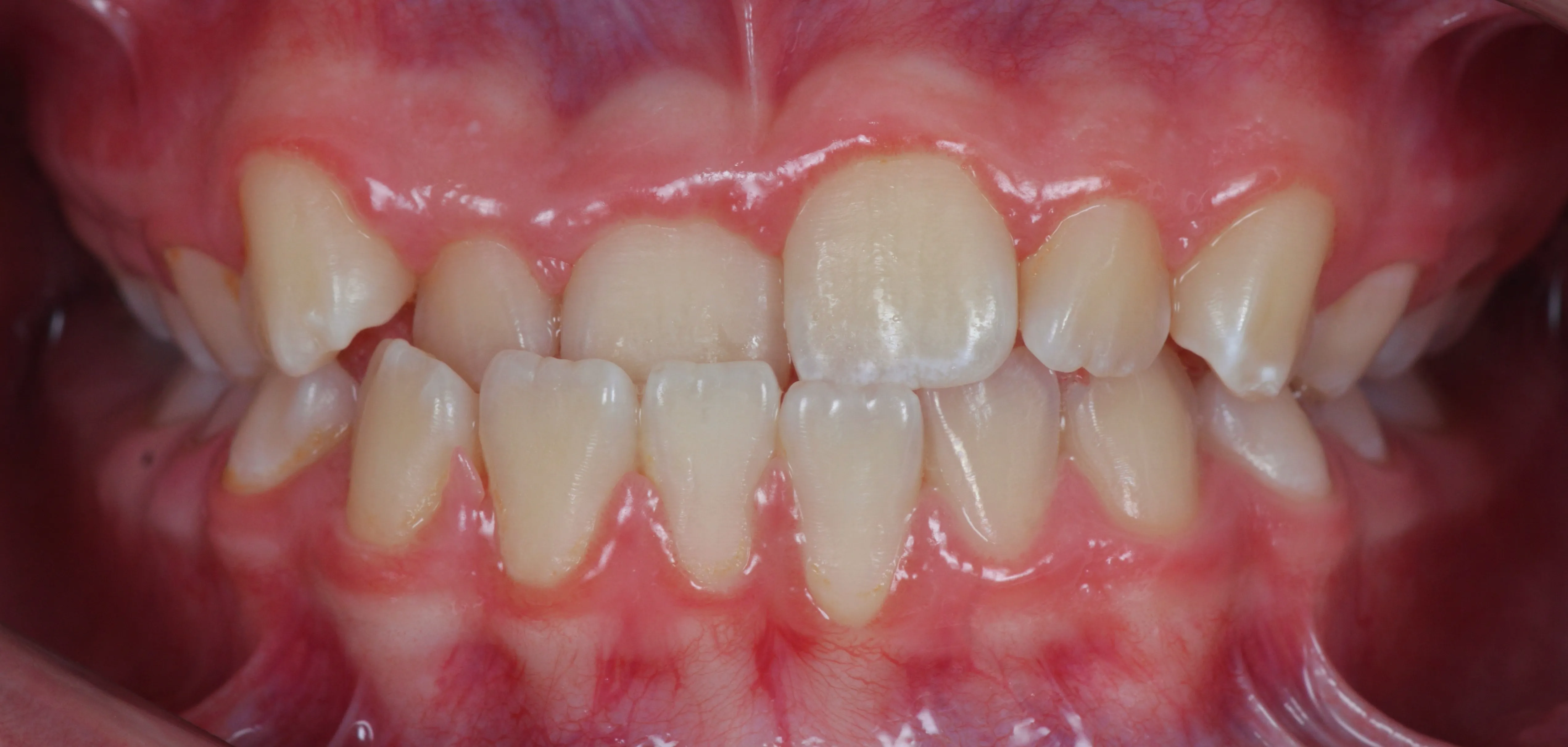
Reabilitação

Neste caso, foram realizadas facetas e coroas dentárias, plastia periodontal, reanatomização em resina e extração do siso. O conjunto dos procedimentos devolveu harmonia, saúde e naturalidade ao sorriso, proporcionando mais confiança no dia a dia.

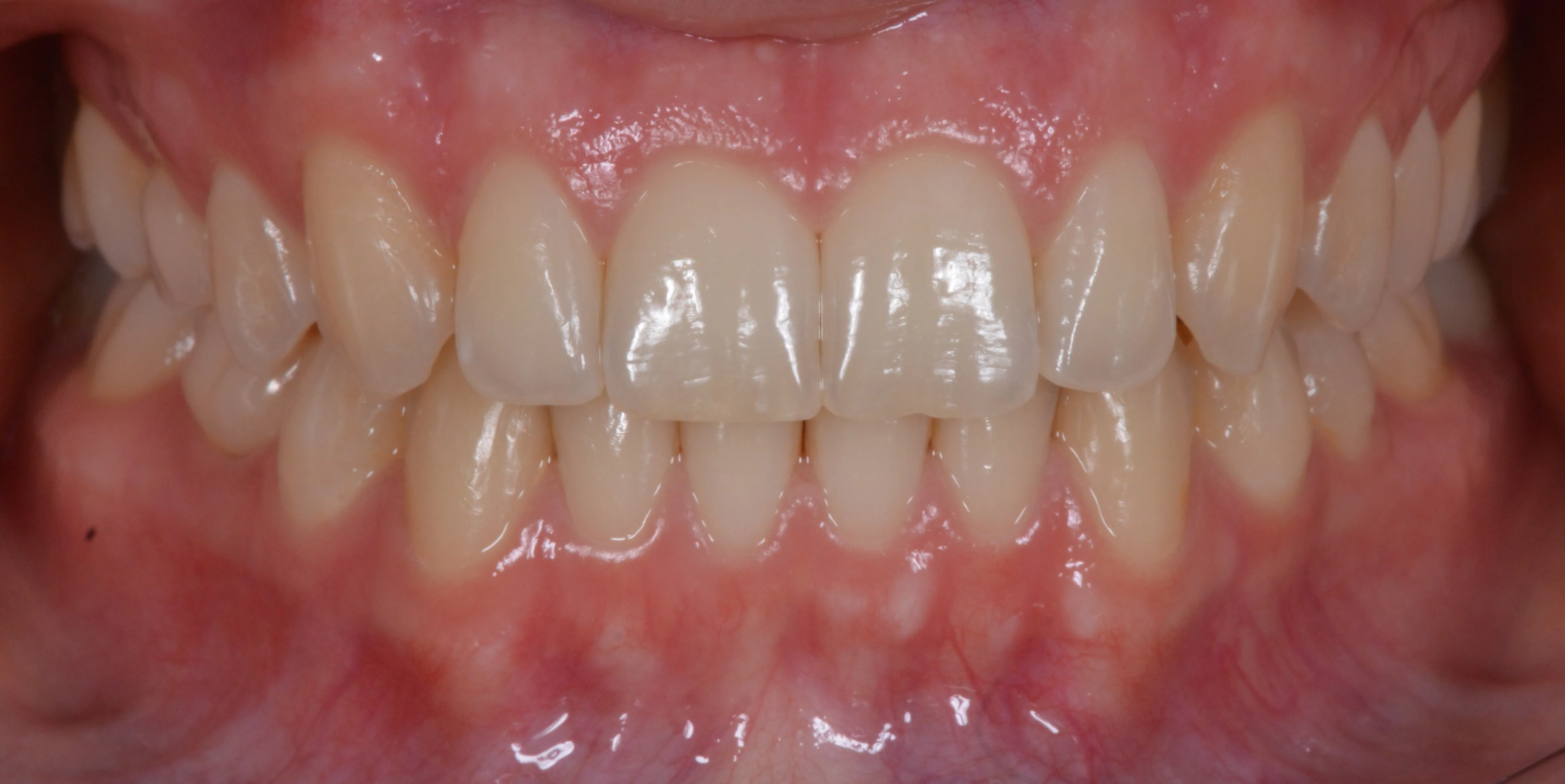
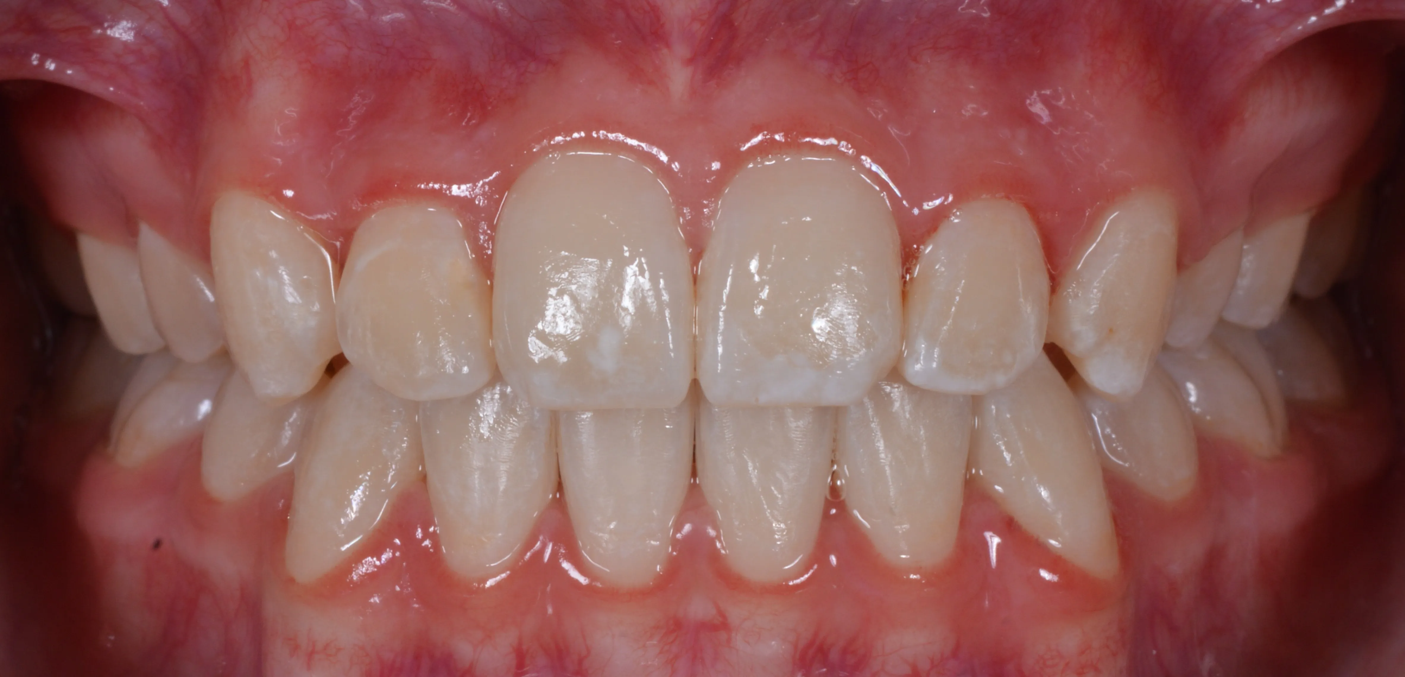
Depois Antes
ANTES
DEPOIS

Reabilitação

O tratamento envolveu facetas, coroas, implante, plastia periodontal e restaurações. A combinação dessas etapas permitiu reabilitar o sorriso por completo, unindo estética e função em um resultado equilibrado.

Depois Antes
ANTES
DEPOIS

Reabilitação

Com a realização de coroas cerâmicas, plástica periodontal e placa de bruxismo, o sorriso foi restaurado de forma saudável e natural, garantindo proteção e equilíbrio para longo prazo.

Depois Antes
ANTES
DEPOIS

Reanatomização estética

Foram realizadas reanatomizações em resina composta, restaurações, plástica periodontal e placa de bruxismo. O tratamento trouxe ajustes estéticos e funcionais, além de melhorar a saúde gengival e proteger contra desgastes.

Depois Antes
ANTES
DEPOIS

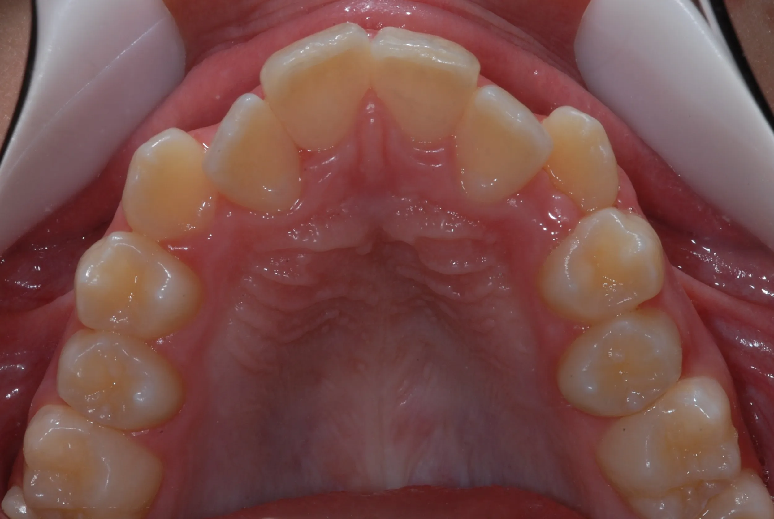
Ortodontia preventiva

Aqui foi iniciado um tratamento ortodôntico ainda na infância, permitindo prevenir problemas futuros e favorecer o desenvolvimento de um sorriso alinhado e saudável desde cedo.

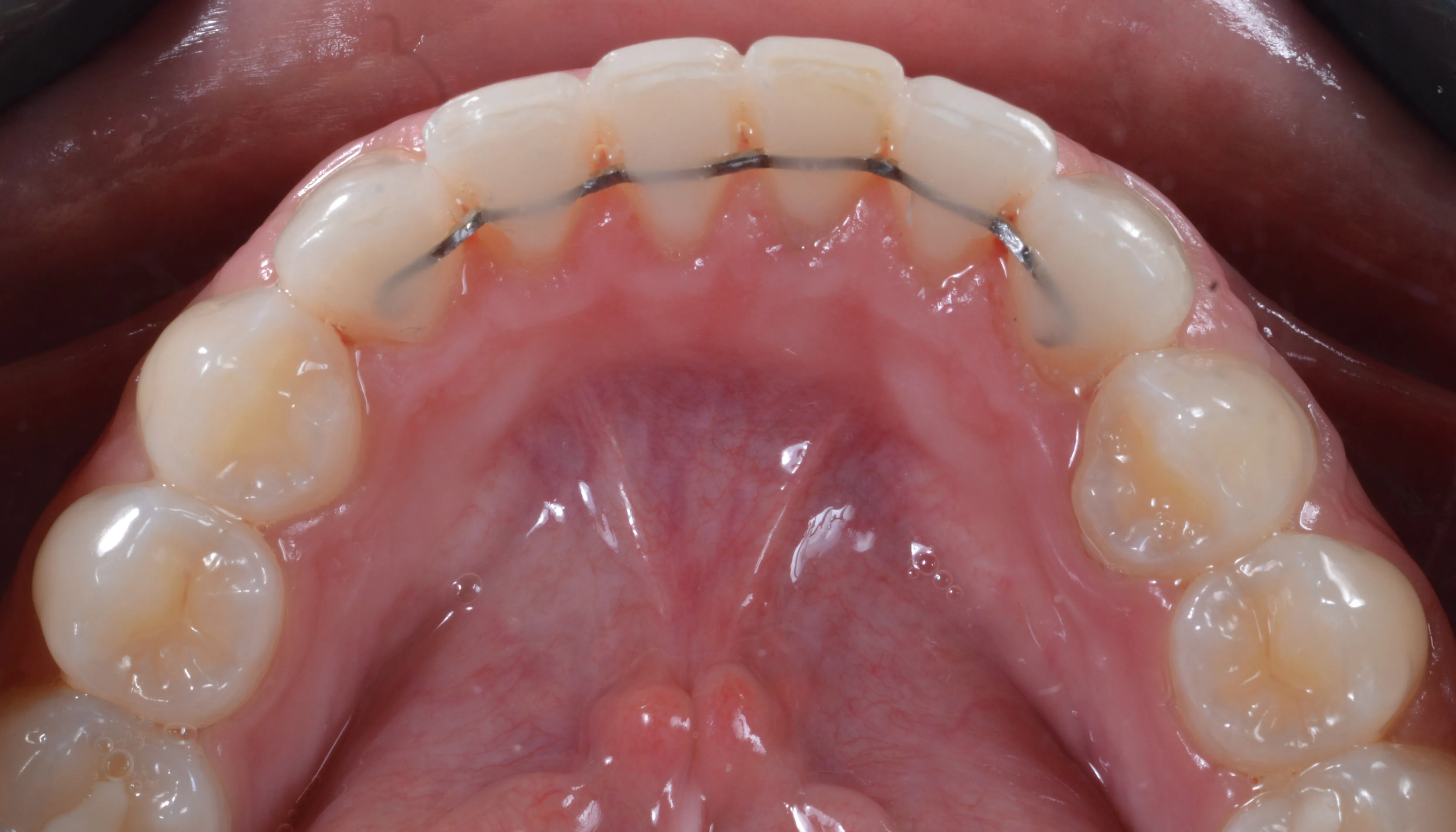
Depois Antes
ANTES
DEPOIS

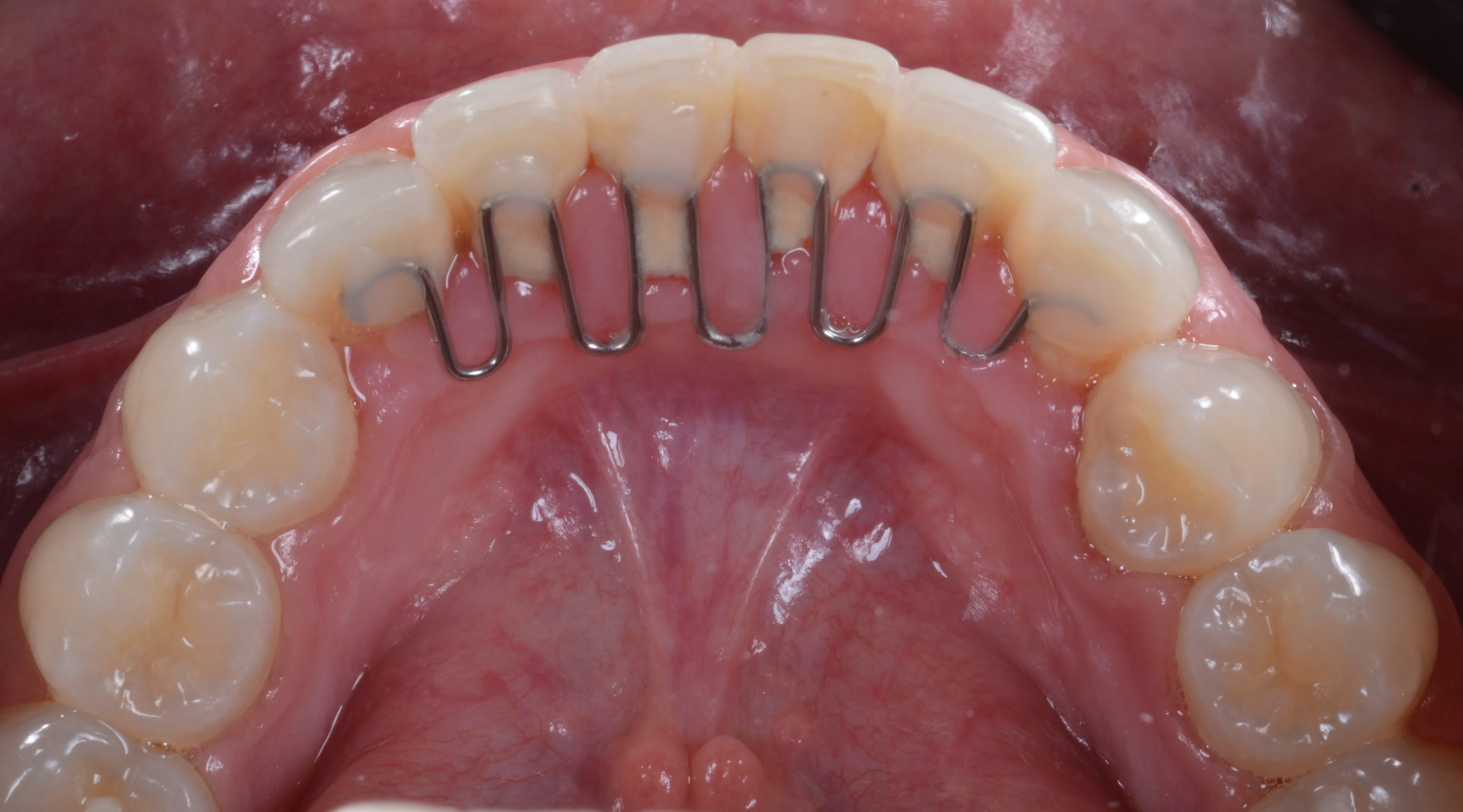
Contenção e prevenção

O tratamento incluiu a troca da contenção higiênica e profilaxia dental, medidas que preservaram a saúde gengival e garantiram maior proteção para o sorriso.

Depois Antes
ANTES
DEPOIS

Ortodontia fixa

Com a utilização de aparelho ortodôntico fixo, foi possível alinhar os dentes e alcançar um sorriso harmônico, equilibrando estética e função.

Depois Antes
ANTES
DEPOIS

Ortodontia com alinhador invisível (Invisalign)

A correção foi realizada com alinhadores invisíveis, que proporcionaram conforto, discrição e liberdade durante todo o processo, resultando em um sorriso alinhado de forma prática e moderna.

Depois Antes
ANTES
DEPOIS

Ortodontia fixa com extrações

Após um planejamento detalhado, o tratamento envolveu aparelho fixo e extrações dentárias, permitindo alcançar harmonia estética e equilíbrio funcional do sorriso.

Depois Antes
ANTES
DEPOIS

Ortodontia fixa

Foi realizado um tratamento compensatório de classe II esquelética e perfil face longa, alcançando melhora estética e funcional, além de um sorriso mais equilibrado.

Depois Antes
ANTES
DEPOIS

Reabilitação

Neste caso, foram realizadas coroas cerâmicas e implantes dentários, que devolveram a função mastigatória e proporcionaram um sorriso renovado, com aspecto natural e saudável.

A Clínica

Nossa estrutura

Nossa clínica conta com uma estrutura moderna, ambientes acolhedores e equipamentos de última geração, proporcionando conforto, segurança e excelência em cada atendimento.

Por que escolher a gente

Oferecemos tratamentos de qualidade para o seu sorriso.

Na Arti Odontologia e Saúde, oferecemos tratamentos odontológicos de alta qualidade, com tecnologia avançada e atendimento personalizado. Nossa equipe é especializada em implantes, ortodontia e Facetas dentárias, proporcionando conforto, segurança e resultados duradouros para o seu sorriso.

Contamos com equipe especializada em implantes, ortodontia, estética dental e Facetas dentárias, sempre com tecnologia de ponta e atendimento humanizado. Agende sua consulta e descubra como transformar sua saúde bucal com a Arti Odontologia e Saúde.

Depoimentos Reais

O que nossos pacientes dizem

Confira as avaliações reais dos nossos pacientes no Google. Sua satisfação é nossa maior recompensa.

Depoimentos

Carregando depoimentos...

5

Avaliação média

100%

Satisfação

20

Anos de experiência

Whatsapp
Clique para falar pelo WhatsApp